Or are we just desperate to say one last goodbye?| preservinghope.substack.com
"We're not just grieving the dead. We're grieving our own failure of imagination. And that's a grief our psychological frameworks aren't equipped to handle."| preservinghope.substack.com
In an era of shrinking science budgets, thought experiments remain affordable| preservinghope.substack.com
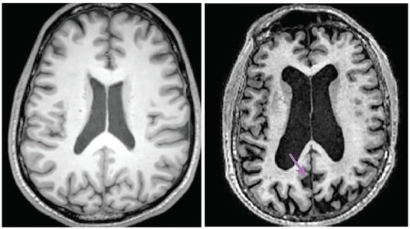
Monitoring preservation’s transition from the laboratory into clinical practice| preservinghope.substack.com
I want your terminological and etymological opinions!| Preserving Hope
After publishing the first post of Preserving Hope, I had a conversation with Kenneth Hayworth and John Smart, the founders of the Brain Preservation Foundation (BPF).| Preserving Hope
A newsletter tracking progress in turning fate into choice| preservinghope.substack.com
$100,000 for decoding a "non-trivial" memory from a preserved brain| preservinghope.substack.com